Resources
Name | Last modified | Size | ||
|---|---|---|---|---|
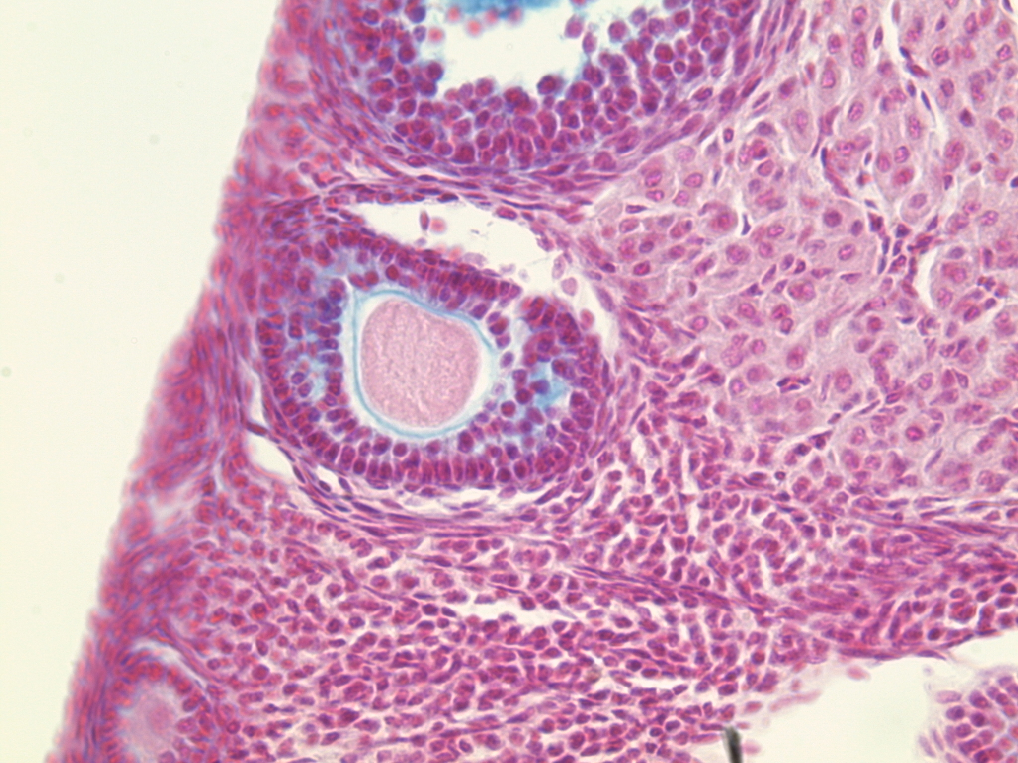
| MDB0000528-APOS001AB_SecondaryFollicle_4.jpg | 2026-01-07 23:26 | 1.5M | ||
| MDB0000528-APOS001AB_SecondaryFollicle_4.xml | 2026-01-07 23:26 | 19K | ||
| MDB0000528-APOS001AB_SecondaryFollicle_4_reduced.png | 2026-01-07 23:26 | 66K | ||
| MDB0000528-APOS001AB_SecondaryFollicle_4_thumbnail.png | 2026-01-07 23:26 | 2.6K | ||