Open folder to download image and metadata

Citation

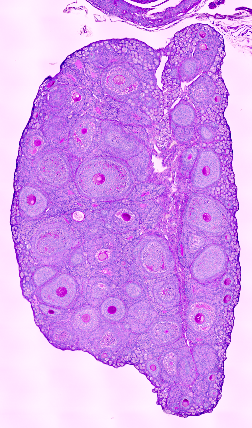
O. Barreñada and M. Brieño-Enriquez, 2026, 'Brieño Lab: NMR 6-Months Ovary (6B-s86)', https://mother-db.org/MDB0000533, Multispecies Ovary Tissue Histology Electronic Repository, Retrieved: February 16, 2026

Taxonomic

Genus: Heterocephalus ()

Species: Heterocephalus glaber (naked mole-rat)

Donor

Donor ID: MABE_HG_NMR-6Mon-6B

Life Stage: prepubertal

Age: 0 years, 180 days

Stage of Cycle:

Attribution

Contact: Miguel Brieño-Enriquez

Slide information

Accession #: MDB0000533

Ovary position: left

Location: wholeOvary

Section thickness: 6 microns

Fixation: neutralBufferedFormalin10

Stain: periodicAcidSchiff

Immunohistochemistry: None

Experimental treatment: None

Other pathology: None

This information is released under the Creative Commons license – Attribution-NonCommercial - CC BY-NC (https://creativecommons.org/licenses/by-nc/4.0/). The consumer of these data ("Data User" herein) is required to cite it appropriately in any publication that results from its use. The Data User cannot use the material for commercial purposes. The Data User should realize that these data may be actively used by others for ongoing research and that coordination may be necessary to prevent duplicate publication. The Data User is urged to contact the authors of these data if any questions about methodology or results occur. Where appropriate, the Data User is encouraged to consider collaboration or co-authorship with the authors. The Data User should realize that misinterpretation of data may occur if used out of context of the original study. While substantial efforts are made to ensure the accuracy of data and associated documentation, complete accuracy of data sets cannot be guaranteed. All data are made available "as is." The Data User should be aware, however, that data are updated periodically and it is the responsibility of the Data User to check for new versions of the data. The data authors and the repository where these data were obtained shall not be liable for damages resulting from any use or misinterpretation of the data. Thank you.