Open folder to download image and metadata

Citation

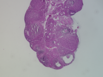
P. Pattarawat, T. Zhan and S. Xiao, 2026, 'Xiao Lab: Mus Musculus PFAS Paper Treatment 5 Slide #0143', https://mother-db.org/MDB0000573, Multispecies Ovary Tissue Histology Electronic Repository, Retrieved: March 5, 2026

Taxonomic

Genus: Mus (mice)

Species: Mus musculus ()

Donor

Donor ID: SX_MM_Treatment_5

Life Stage: prepubertal

Age: 0 years, 25 days

Stage of Cycle:

Attribution

Contact: Shuo Xiao

Slide information

Accession #: MDB0000573

Ovary position: unspecified

Location: wholeOvary

Section thickness: 5 microns

Fixation: neutralBufferedFormalin10

Stain: Hematoxylin and Eosin

Immunohistochemistry: None

Experimental treatment: Yes - PFNA, 25 mg/kg, IP injection, 5 days

Other pathology: None

This information is released under the Creative Commons license - Attribution - CC BY (https://creativecommons.org/licenses/by/4.0/). The consumer of these data ("Data User" herein) is required to cite it appropriately in any publication that results from its use. The Data User should realize that these data may be actively used by others for ongoing research and that coordination may be necessary to prevent duplicate publication. The Data User is urged to contact the authors of these data if any questions about methodology or results occur. Where appropriate, the Data User is encouraged to consider collaboration or co-authorship with the authors. The Data User should realize that misinterpretation of data may occur if used out of context of the original study. While substantial efforts are made to ensure the accuracy of data and associated documentation, complete accuracy of data sets cannot be guaranteed. All data are made available "as is." The Data User should be aware, however, that data are updated periodically and it is the responsibility of the Data User to check for new versions of the data. The data authors and the repository where these data were obtained shall not be liable for damages resulting from any use or misinterpretation of the data. Thank you.